Schmerzen und Funktionsstörungen des Hüftgelenks können vielfältig sein. Neben Verschleißerscheinungen des Hüftgelenks können Sehnen- oder Schleimbeutelentzündungen vorliegen. Oft liegt auch eine Problematik der Lendenwirbelsäule vor, welche zu Schmerzen in der Hüftregion führt. Wir bieten Ihnen alle Diagnose- und Behandlungsverfahren rund um das Hüftgelenk an. Beginnend mit der Sonographie, welche durch Herrn Thomas Göttlicher durchgeführt wird, über Konservative Behandlungsmöglichkeiten der Hüftarthrose, bis hin zur Operation.
Hüftdysplasie
Die Hüftdysplasie ist eine angeborene Deformität der Hüfte(n) beim Neugeborenen unterschiedlicher Ausprägungsgrade (leicht = Hüftreifungsverzögerung; schwer = Hüftluxation), die bei ca. 1 bis 5 % aller Neugeborenen in Mitteleuropa auftritt. Die genauen Ursachen für hierfür sind nicht bis ins Detail bekannt, Hüftdysplasien treten jedoch vermehrt bei Fehllage des Kindes im Mutterleib (Beckenendlage), Zwillingsgeburten und bei gehäuftem Auftreten in den Elternfamilien (genetische Komponente) auf. Diese Faktoren werden deshalb im Anamnesegespräch mit den Eltern abgefragt.
Entscheidend für eine möglichst erfolgreiche Therapie sind eine rasche Diagnosestellung und eine sofortige Therapieeinleitung. Deshalb ist die Neugeborenen-Hüftsonographie seit vielen Jahren Bestandteil der routinemäßigen Screeninguntersuchungen für Neugeborene und wird spätestens zur U3 (etwa in der siebten Lebenswoche) empfohlen. Wird eine Hüftdysplasie nicht erkannt und adäquat behandelt, drohen Haltungsschäden und dauerhafte Geh- und Stehprobleme bis hin zu dauerhaftem Hinken, sowie im Erwachsenenalter vorzeitige Hüftschädigungen wie zum Beispiel Arthrose.
Die Diagnostik der Hüftdysplasie umfasst eine klinische Untersuchung der Hüftgelenke sowie eine standardisierte Ultraschalluntersuchung (Methode nach Prof. Dr. med. Reinhard Graf).
Die Ultraschalluntersuchung stellt dabei eine nach heutigem Stand der Wissenschaft harmlose und nebenwirkungsfreie sowie schmerzlose Diagnostikmethode dar, mittels derer eine Hüftdysplasie mit hoher Sicherheit festgestellt oder ausgeschlossen werden kann und die zudem erlaubt, den Schweregrad der Deformität festzulegen.
Falls nötig schließt sich, je nach Ausprägung der Deformität, unmittelbar an die Diagnose die Einleitung der Therapie an.
In den allermeisten Fällen handelt es sich um leichte Formen im Sinne einer Hüftreifungsverzögerung, die lediglich eine mehrwöchige Nachreifungsphase mit konsequentem „breitem Wickeln“ erforderlich macht. Zeigen sich in den nachfolgenden Kontrolluntersuchungen normale Hüftverhältnisse, ist keine weitere Therapie erforderlich.
Schwerere Fälle im Sinne einer echten Hüftdysplasie müssen über meist mehrere Monate mittels Orthese („Spreizhose“, „Tübinger Schiene“) behandelt und regelmäßig sonographisch kontrolliert werden. Hierdurch lassen sich jedoch die meisten Hüftdysplasien gut behandeln, so dass die Deformität vollständig ausheilt.
Nur die sehr seltenen schwersten Fälle, welche teilweise eine Luxation („Ausrenkung“) der Säuglingshüfte mit sich bringen, erfordern eine intensive Therapie mittels längerfristiger Gipsbehandlung, Retentionstherapie (= langsames, kontinuierliches „Einrenken“ der betroffenen Hüfte) bis hin zur operativer Therapie mit anschließender mehrjähriger Nachbehandlung. Diese Behandlung der schweren Hüftdysplasie/Hüftluxation kann nur in spezialisierten kinderärztlichen/kinderorthopädischen Zentren erfolgen und macht für das betroffene Kind meist auch mehrere stationäre Klinikaufenthalte notwendig.
Hüftgelenksarthrose (Coxarthrose)


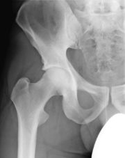
Unter Hüftgelenksarthrose (Coxarthrose) versteht man einen Verschleiß des Knorpelüberzuges an Oberschenkelkopf und Hüftgelenkpfanne. Normalerweise gewährleistet der intakte Knorpel durch seine glatte Oberfläche eine schmerzfreie Bewegung im Hüftgelenk. Durch den defekten Knorpel kommt es zu vermehrter Reibung, welche Schmerzen verursacht. Patienten mit Hüftarthrose verspüren meist einen Schmerz im Bereich der Leistenregion, begleitend kann eine Schmerzausstrahlung in den Oberschenkel bestehen. Durch die vier Kardinalsymptome Nachtschmerz, Ruheschmerz, Anlaufschmerz und einer eingeschränkten Gehstrecke ist die Lebensqualität der Patienten deutlich eingeschränkt. Begleitend besteht auch eine Bewegungseinschränkung des Hüftgelenkes, so kann bereits das Anziehen von Socken oder Schuhen erschwert sein.
Die Ursachen der Arthrose sind vielfältig. Meist besteht aber ein altersbedingter Verschleiß des Knorpels. Andererseits kann eine nicht erkannte Hüftdysplasie im Kindesalter durch eine ungünstige Gelenksituation zu einer vorzeiten Hüftarthrose führen. Bei Rheumapatienten kommt es hingegen zu einer fehlgesteuerten Immunabwehr gegen das eigene Gelenk. Durch die Entzündungsreaktion wird das Gelenk zerstört. Eine andere Ursache kann eine Durchblutungsstörung des Hüftkopfes durch die langfristige Einnahme von Cortison oder z. B. übermäßiger Alkoholgenuss sein. Hierunter kommt es zu einem Absterben des Hüftkopfes (sog. Hüftkopfnekrose).
Durch Unfälle kann es zu Schädigungen des Hüftkopfes oder Gelenkpfanne kommen. Insbesondere bei fehlerhaft ausgeheilten Brüchen mit Beteiligung des Knorpels kommt es zur Arthrose.
In jedem Fall sollte ein konservativer Therapieversuch gestartet werden um die Implantation einer Hüftprothese hinaus zu zögern oder gar ganz zu vermeiden.
Entscheidend für die konservative Therapie ist das Vermeiden von Stoßbelastungen, so sollten Stop and Go Sportarten (z. B. Tennis oder Fußball) vermieden werden. Gelenkschonender Sport wie z. B. Fahrradfahren oder Schwimmen sind hingegen förderlich für das Hüftgelenk.
Neben der Einnahme von Schmerzmitteln kann Physiotherapie die Beschwerden deutlich reduzieren und die Beweglichkeit des Hüftgelenkes nachhaltig verbessern.
Ergänzende Infiltrationen mit einem Lokalanästhetikum und Cortison können einen akuten Entzündungsschub (aktivierte Coxarthrose) durchbrechen. Sinnvoll kann auch die Infiltration von Hyaluronsäure sein. Diese hat ebenfalls eine entzündungshemmende Wirkung und verbessert als künstliche Gelenkschmiere die Funktion des Gelenkes. Die Injektion von Hyaluronsäure ist eine sog. individuelle Gesundheitsleistung (IGEL) und wird von den Krankenkassen nicht übernommen.
Zeigt eine konservative Therapie keinen nachhaltigen Erfolg oder erfolgt diese in engen und wiederkehrenden Intervallen, besteht die Indikation zum Hüftgelenksersatz (Hüftendoprothese).
Vor der Operation steht die Planung des Eingriffs am PC. Mit einer Planungssoftware wird die Größe und Platzierung der Prothese festgelegt. Bei der OP selbst erfolgt ein ca. 10-15 cm langer Hautschnitt seitlich am Oberschenkel. Im ersten Schritt wird der defekte Hüftkopf mit einem Teil des Oberschenkelhalses entfernt. Danach wird die verschlissene Hüftpfanne mit einer Fräse bis zur vorher geplanten Größe aufgefräst. Die künstliche Pfanne wird dann im sog. Pressfit Verfahren eingeschlagen. In die Pfanne wird ein sog. Kunststoffinlay als Gleitlager eingebracht, danach wird der Oberschenkel mit einer Raspel bis zur Implantation des Prothesenschaftes vorbereitet. Der Schaft wird zementfrei oder bei reduzierter Knochenqualität mit Knochenzement eingebracht. Als letzter Schritt wird ein neuer Gelenkkopf aus Keramik oder Metall auf den Prothesenschaft aufgebracht und das neue Hüftgelenk reponiert.
Der Eingriff erfolgt unter stationären Bedingungen für etwa 7-10 Tage. Unmittelbar nach der OP darf der Patient das neue Hüftgelenk voll belasten. Nur zementfreie Implantate bedürfen einer Teilbelastung für etwa 6 Wochen. Das Gehen an Krücken wird aber in jedem Fall für etwa 6 Wochen empfohlen. Bereits während des stationären Aufenthalts erfolgt eine intensive physiotherapeutische Beübung mit Gangschule. An den stationären Aufenthalt im Krankenhaus schließt sich eine Nachbehandlung für weitere 3 Wochen in einer Rehabilitationsklinik an. In der 6.-8. Woche sollten die Krücken abtrainiert werden und das normale Gehen wird wieder möglich. Für weitere 3-4 Monate wird Physiotherapie empfohlen. Die Schmerzen nach Hüftimplantation sind meist gering. Es handelt sich um ein erfolgreiches Operationsverfahren. 90% der Patienten sind mit dem Operationsergebnis zufrieden.


